Maszewski Dental Clinic
Metamorfoza Krzysztofa


Usta
PRZED

PO

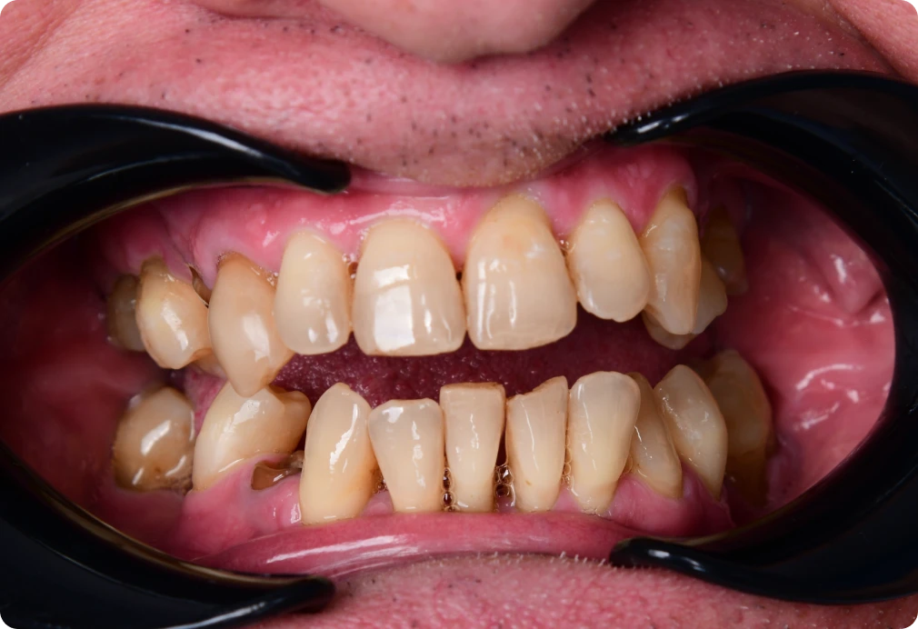
Zęby
PRZED

PO

Portret
PRZED

PO


Zakres metamorfozy
Pan Krzysztof zgłosił się do kliniki z powodu problemów stomatologicznych, w pierwszej kolejności odbył kompleksową diagnostykę jamy ustnej, dzięki czemu otrzymał cały plan leczenia i konsekwentnie go realizował. Jego motywacją do wizyty były estetyczne niedogodności związane z brakującymi zębami oraz chęć poprawy funkcji żucia. Podczas Konsultacji Protetycznej przeprowadzono dokładną ocenę stanu uzębienia pacjenta, zidentyfikowano obszary wymagające leczenia i zaproponowano odpowiednie rozwiązania, takie jak mosty i korony porcelanowe. Nowe zęby pozwoliły pacjentowi na nowo cieszyć się pięknym uśmiechem oraz dodały pewności siebie.
